大馬男子生「42隻牙」刷新世界紀錄 X光照曝光無P圖震驚大眾

大馬男子生「42隻牙」刷新世界紀錄 X光照曝光無P圖震驚大眾
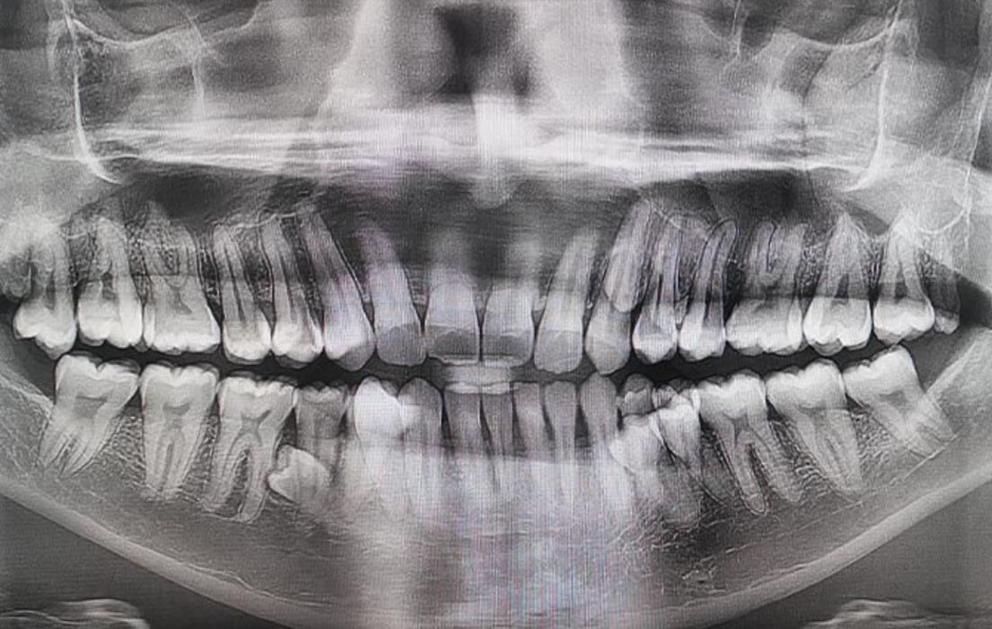
一名馬來西亞男子因擁有多達42顆牙齒,成功獲得健力士世界紀錄認證,成為「世上擁有最多牙齒的人」,比一般成年人多出足足10顆!


大馬男子生「42隻牙」刷新世界紀錄

現年33歲的穆尼亞迪(Prathab Muniandy)表示,他是在數年前才察覺自己的牙齒數量異於常人。2021年一次家庭下午茶聚會期間,他向家人提及自己似乎長出了額外的牙齒,眾人隨即替他逐一細數,當時已發現他口中共有38顆牙齒。


大馬男子生「42隻牙」刷新世界紀錄 X光照曝光無P圖震驚大眾

大馬男子生「42隻牙」刷新世界紀錄 X光照曝光無P圖震驚大眾


其後接受牙科檢查時,X光片顯示仍有4顆牙齒尚未完全長出。直至2023年初,穆尼亞迪確認自己總共擁有42顆牙齒,並正式打破世界紀錄。他形容情況相當罕見,但幸運的是,多數牙齒排列整齊,亦未引發任何健康併發症。


大馬男子生「42隻牙」刷新世界紀錄 X光照曝光無P圖震驚大眾


穆尼亞迪指出,額外的牙齒並未對他的日常生活造成困擾,甚至在他主動提起前,大部分人都未有察覺異樣。「每當我說出自己比一般人多10顆牙齒時,大家都感到十分驚訝,很多人一開始都難以相信,畢竟普通人通常只有32顆牙齒。」