寵物救急|松鼠狗頸椎骨刺右手癱瘓 四管齊下行得返

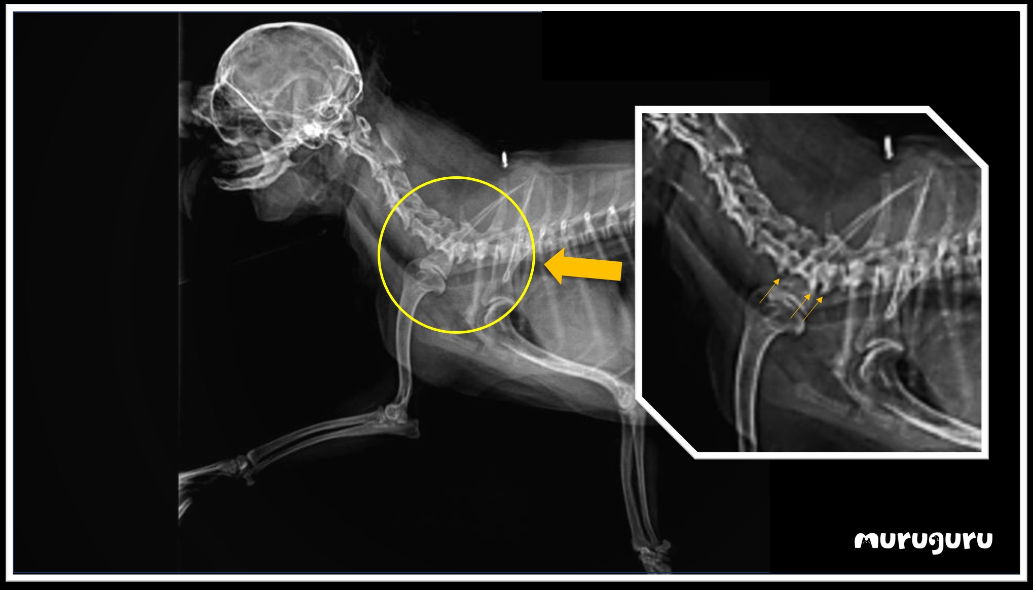
波波是一隻已達13歲高齡的松鼠狗,長期受到松鼠狗常見的關節問題困擾。大約半年前,牠突然右手無法彈動,令主人擔心關節問題可能惡化,於是迅速向獸醫Dr. Doris求醫,進行X光檢查,結果發現波波的頸椎出現了骨刺,這正是導致右手癱瘓的元兇。

在老年貓狗中,骨刺是一種相當常見的毛病,通常在兩塊骨骼的交界處出現骨質增生。根據X光影像,波波的第五至七節頸椎出現了微小的骨刺,雖然數量不多,但突出來壓迫了傳遞去右手的神經線,對神經傳遞造成影響,結果右手失去了神經反射,導致癱瘓的情況發生。

確立治療目標:減輕生活影響

右手癱瘓影響了行走,幸好波波的症狀尚屬初期,其他三隻手腳的神經反射仍正常,未導致全身癱瘓。加上,由於波波年事已高,手術風險相對較高,Dr. Doris認為手術也不是最適合波波的方法。她建議採取綜合治療,以減輕痛楚及改善右手活動能力為治療目標,為波波制定一個結合針灸、雷射和藥物治療的療程。

⦁ 針灸治療:在進行針灸前,Dr. Doris先使用特製的支架將波波的姿勢固定好,確保牠感到安心並不會亂動,然後在穴位中落針。這些針會在穴位中停留一段時間,加速血液循環,刺激身體反應,促進神經反射並緩解痛楚。

⦁ 雷射治療:雷射治療透過激光儀器刺激患處的組織,幫助舒緩痛楚和修復神經。在照射期間,Dr. Doris密切觀察波波的反應,同時評估治療效果。

⦁ 中西藥物治療:Dr. Doris為波波開了一些有助促進血氣運行的中藥,對癱瘓症狀也有幫助。在必要時,她也會使用西藥的止痛藥物,實行綜合治療。

多管齊下的治療,右手癱瘓行得返

波波每星期都會接受上述的綜合治療,經過半年的時間,牠右手的肌肉萎縮情況有了顯著改善,現在已經能夠支撐得起身體,行走的距離也變得更長。在家中,牠也能夠自行上廁所,生活上的種種不便得到了減輕,成功達到了治療目標。Dr. Doris認為這樣的進步應歸功於主人對治療方式的理解,以及他們持之以恆地接受療程,這才使得治療達到理想效果。

透過波波的成功例子,Dr. Doris希望更多寵物主人能夠明白,主人對治療目標的理解對患者進行療程有莫大的幫助。即使面對不能完全痊癒的病痛,都可以透過綜合治療方式,減輕疾病對生活的影響,甚至讓寵物們重拾活力。

貓奴狗奴知多啲
⦁ 水中跑步機適合年老、肌肉量減少和活動受限的寵物。
⦁ 水的浮力能減輕寵物的體重,降低關節負擔。
⦁ 透過水的阻力,有助增強肌肉力量,促進康復。

 撰文:黃滈琹
 審核:李祉君醫生 

【Muruguru 貓奴狗奴| 寵物醫療健康資訊平台】,授權轉載。

這篇文章的目的是提供一般的資訊和知識,並不應被視為個人的醫療建議。我們強烈建議讀者在進行任何醫療決策之前,諮詢專業的獸醫或醫療專家,根據寵物的具體情況和醫療專業人員的建議做出適當的醫療決定。多謝你的理解和支持。