擠暗瘡 | 男大生擠暗瘡高燒呼吸發痛 揭敗血症致「肺穿窿」醫生警告「危險三角區」暗瘡勿亂擠恐休克

擠暗瘡 | 男大生擠暗瘡高燒呼吸發痛 揭敗血症致「肺穿窿」醫生警告「危險三角區」暗瘡勿亂擠恐休克

【擠暗瘡/高燒/發燒/呼吸/敗血症/醫生/警告/危險三角區】綜合內媒報道,來自浙江的20歲男生小林是一名大二學生,他早前為準備考試捱夜多晚,臉上冒出一粒黃豆大小的痘,他形容 「又紅又腫的很難看,我就想著擠掉能快點好」。

他憶述當時沒有洗手就對著鏡子擠痘,惟數天後痘痘依舊化膿,小林更開始發燒、咳嗽、咳痰,服用退燒藥後只能暫時退燒,右下胸部更出現疼痛,像有針在扎,其深呼吸、咳嗽時亦痛得直冒冷汗。

確診血源性肺膿瘍

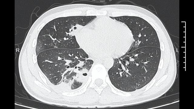
至第3天,小林燒到攝氏39度,趕緊到寧波大學附設第一醫院就診,應診的丁群力主任醫師一看其症狀,立刻安排CT檢查,結果顯示小林的肺部有10多個空洞,部分肺組織已壞死,是典型的血源性肺膿瘍。

細菌入血引發敗血症

進一步細菌培養和基因檢測顯示,小林的血液檢出金黃色葡萄球菌,這種細菌藏在每個人的皮膚表面,丁群力解釋 「『罪魁禍首』就是那顆被擠掉的痘痘,這顆痘痘長在臉部『危險三角區』,擠痘痘時的壓力把細菌推進了血管,引發了敗血症,接著細菌順著血流跑到肺部,侵蝕肺組織」。

幸小林年輕、體能好,對藥物也較敏感,經12天的抗生素治療後,順利康復出院。

「危險三角區」暗瘡勿亂擠

據報臉部有一個「危險三角區」,是指從鼻根到兩側口角形成的三角形範圍。丁群力指出,當擠壓這個區域的痘痘時,一方面痘痘本身是毛囊發炎的產物,已存在局部感染,擠壓會直接破壞皮膚屏障,讓痘痘裡含大量細菌的膿液,接觸到皮下毛細血管。

另一方面,擠壓的壓力容易把這些細菌強行推進血管裡,沒有靜脈瓣的阻擋,細菌可順著血液自由擴散,往上進入顱內,引發腦膜炎、腦膿瘍等疾病,往下順著全身血液循環,跑到肺部、肝臟等器官,引發嚴重感染。像小林這樣,當細菌跑到肺組織,會破壞肺細胞,引發局部發炎,隨著發炎加重,肺組織會逐漸壞死、液化,最後形成一個空洞。

嚴重可致休克危及生命

如沒有及時就醫,輕則導致肺膿腔破裂,引發膿胸、膿氣胸,胸腔裡積滿膿液;重則細菌會再次擴散到肝臟、心臟等關鍵器官,甚至引發膿毒症休克,危及生命。即便最終治癒,嚴重的肺組織壞死也可能留下後遺症,如肺功能下降,影響後續的正常呼吸。

浙中醫大二院(浙江省新華醫院)整形美容科醫生張亦軒表示,臉上痘痘不能隨便擠,因這個動作會造成微小組織創傷,引發一系列不良後果,不僅可能將膿液推向皮膚更深層,形成更頑固、更疼痛的結節或囊腫,且擠壓會破壞毛囊壁,使原本被包裹的細菌和炎症物質向周圍擴散,導致炎症加重。

擠壓也可能傷害真皮層的膠原蛋白,一旦支撐結構被破壞,皮膚無法完美再生,會形成永久性的凹陷疤痕。同時,劇烈發炎會刺激黑色素細胞,導致紅色或啡色的痘印遲遲不褪。

處理暗瘡方法

若痘痘已「熟透」且非擠不可,張亦軒提醒只能處理頂端有白色膿頭且不紅腫的成熟痘痘,操作前用肥皂洗手,並用酒精消毒痘痘區域和工具,建議使用消毒後的擠痘針。熱敷軟化肌膚後,以擠痘針環狀端對準膿頭輕柔施壓,見膿液排出或冒出血清即停。最後用酒精或碘伏消毒傷口,塗抹抗菌藥膏,並保持傷口乾爽透氣。

【延伸閱讀】

背痘 | 背部生瘡≠熱氣/清潔差 用錯洗護髮產品引發背痘 醫生教3招防治避開5種成分

背部長滿痘痘 醫生教保養背部關鍵

暗瘡 | 三孩母擠暗瘡臉腫嘴歪 醫生警告「死亡三角區」暗瘡勿擠 恐感染大腦致死 附正確處理方法