95歲婦👵患癌剩39公斤拒治療 孫女一句話說服10天奇蹟出院🥰

95歲婦👵患癌剩39公斤拒治療 孫女一句話說服10天奇蹟出院🥰

來自台灣台中的「阿月嬤」今年95歲,2年前飽受血尿所困,體重一度僅剩39公斤,求醫後發現罹患第三期腎盂及輸尿管癌。不過阿月嬤害怕開刀,遲遲不肯接受治療,幸好有外孫女跟她說「阿嬤(祖母)我們想多陪你幾年!」阿月嬤深受感動,決心接受達文西手術,術後復元狀況良好,僅10天就順利出院,令家人相當欣慰。

亞洲大學附屬醫院泌尿部長兼阿月嬤的主治醫生黃志平指出,阿月嬤本身有高血壓、中風及阻塞性肺病病史,2年前因反覆血尿數周,身體每況愈下,體重更是直線下降,健康狀況令人擔憂。

祖母拒絕接受治療

阿月嬤的孫女就指,祖母原本由母親照顧,但母親多年前病逝,其生前曾囑咐她好好照顧祖母,此後她開始協助祖母的生活起居。她得知祖母身體有異樣後相當不捨,但祖母因年事已高,害怕開刀做手術,又擔心病況會拖累家人,不肯積極接受治療。

孫女一句話說服祖母

孫女開玩笑地表示,她勸說祖母做手術的過程有點「殘忍」,她跟對方說現在有3種情形,一是不做手術,但之後病痛纏身,會越來越痛苦;二是接受化療,但會掉頭髮,過程也會很不舒服;第三是接受手術,有機會復元,即使失敗也是倒在手術台上,處於麻醉狀態不會感到痛苦。不過讓祖母改變心意的,是孫女跟她說「我們好想再多陪你幾年,所以你要勇敢喔」,這才說服祖母就醫檢查。

機械人手術切除腎臟

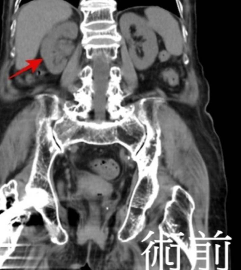
電腦斷層和核磁共振檢查結果顯示,祖母右側腎盂有腫瘤,且已侵犯到腎盂旁的脂肪,確診為第三期腎盂及輸尿管癌,幸好並未轉移到其他器官。然而祖母突然感染新冠肺炎合併肺積水緊急住院,所幸經過治療後成功脫離險境,體力也逐漸恢復。黃志平指出,經匯集多專科會診討論治療方案後,決定採用達文西機械人手臂手術切除右側腎臟、輸尿管和部分膀胱組織,期間一併修補右側疝氣,手術歷時210分鐘,出血量僅30毫升,毋須任何輸血,十分順利。

術後2年無復發跡象

黃志平透露,術後阿月嬤可快速拔喉,毋須轉到加護病房觀察,在孫女的細心照顧下,其住院10天即順利出院,病理報告證實她罹患的是第三期腎盂泌尿道上皮癌。其後孫女每次都陪祖母覆診,又帶她去遊山玩水,追蹤2年來,不論是電腦斷層、磁振造影和膀胱鏡檢查均顯示腫瘤無任何復發跡象,可說是抗癌成功。

黃志平指出,考慮到患者年事已高,且身體狀況不如一般患者強韌,若採用達文西手術系統手術,不僅手術時視野更清晰廣闊,可提供精準縫合,且術後傷口小、復元快,更能讓高齡患者盡快恢復生活作息。