15歲仔腹脹體虛證患末期大腸癌 排便習慣改變💩易攰恐是徵兆?

15歲仔腹脹體虛證患末期大腸癌 排便習慣改變💩易攰恐是徵兆?

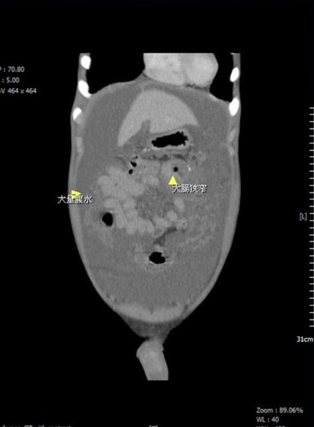
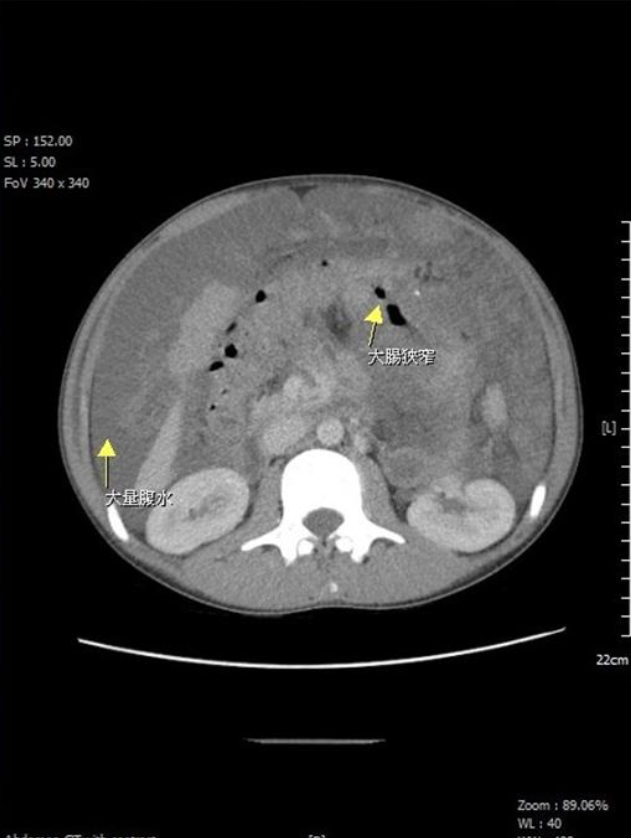
台灣苗栗一名15歲少年,近月持續腹脹不適、身體虛弱、體力下降,日前更因腹脹不適到苗栗縣大千醫院求醫,外科部主任馮啟彥經檢查發現,少年有嚴重貧血和大量腹水,抽血檢驗癌症指數CEA高達16(正常值小於5),進一步安排電腦斷層穿刺和大腸鏡切片後,證實少年罹患末期大腸癌,且癌細胞已在腹腔擴散。

大腸癌6大徵兆

馮啟彥表示,大腸癌初期症狀並不明顯,容易與其他健康問題混淆,因此要注意以下主要徵兆。

1. 血便

可能出現深紅或黑色的糞便。

2. 排便習慣改變

例如便秘、腹瀉、排便頻率改變或大便形狀變細等,都可能是腫瘤影響腸道導致的結果。

3. 不明原因的腹痛

持續的腹部不適,特別是伴隨排氣困難,可能是腫瘤造成腸阻塞的徵兆。

4. 疲勞感

即使有充足休息,仍然感到疲憊,可能是因癌細胞消耗身體能量或失血引起。

5. 體重無故減輕

在6個月內體重無故減輕5公斤以上,就需要警覺。

6. 其他症狀

腹部腫塊、貧血、排便後仍有便意等。

馮啟彥指出,近年因飲食和生活習慣改變,大腸癌有年輕化的趨勢,加上越年輕的癌症病人,其發病的惡性度就會越高。這次15歲案例的大腸癌為分化最差的腺癌,因已多處擴散,無法以手術一次完整切除乾淨,因此只能先以化學治療為主。馮啟彥提醒,如出現上述症狀,無論年紀大小,都要及早到醫院接受詳細檢查,才能及早發現和治療。

10 大政府醫療津貼👨🏻‍⚕️範圍:大腸癌篩查洗牙乳癌檢查|一文睇晒資格+申請方法🩺

本港致命癌症排名:大腸癌排名第二、此癌症長居榜首

年輕人大腸癌激增!這些症狀你必須知道!