心臟衰竭 | 29歲男氣喘揭心臟衰竭 心臟功能差過6旬父 3大壞習慣致病隨時猝死

心臟衰竭 | 29歲男氣喘揭心臟衰竭 心臟功能差過6旬父 3大壞習慣致病隨時猝死

【心臟衰竭/血管/猝死】台灣一名29歲男子因氣喘就醫,經檢查發現有嚴重心衰竭,比60歲父親還要嚴重,醫生警告可能會導致猝死。

綜合台媒報道,收治個案的員榮醫院心臟內科主任陳裕峰指出,患者出現氣喘嚴重、咳嗽,晚上無法平躺睡覺。由於患者不吸煙,也沒有糖尿病,僅有高血壓,但未有治療,起初並未懷疑患者血管可能有阻塞,但經檢查後發現,患者心臟功能極差,左心室射出分率僅25%,屬於嚴重心臟衰竭。

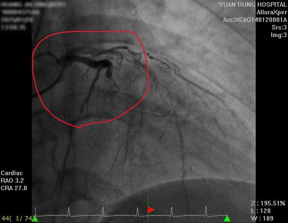
▲▼員榮醫院心臟內科陳裕峰主任解釋患者左前降支、左迴旋支及右冠狀動脈三條血管均嚴重阻塞。(圖/員榮醫院提供)

陳裕峰表示,心臟衰竭俗稱心臟無力,指心臟功能受損,無法打出足夠血液量,滿足身體和組織代謝的需求,進而產生一連串症狀,臨床檢查會發現有心臟肥大、肝腫大的情形。據醫學統計台灣文獻指出,心衰竭3年死亡率約50%,比癌症更可怕。

病情比6旬父親更差

陳裕峰續說,該名患者的60歲父親也是他的病患,惟兒子的情況比父親還要嚴重,令人十分驚訝,「一般而言,29歲的年輕男性不該有如此低的心臟功能」。

陳裕峰指出,一開始使用藥物治療,症狀有所改善,但心臟功能恢復仍不理想。進一步檢查顯示,患者左前降支、左迴旋支和右冠狀動脈3條血管均嚴重阻塞,這正是心臟功能下降的主因。

▲▼29歲患者因高血壓未服藥,加上生活作息不正常,心臟三根動脈血管都嚴重阻塞。(圖/員榮醫院提供)

3大壞習慣致病

陳裕峰解釋,與其他因病毒感染導致心臟衰竭的患者不同,該患者的心臟衰竭是由慢性血管阻塞引起,可能是20多歲時患高血壓但未有按時服藥,且常捱夜、飲食不正常等,造成血管開始狹窄並逐漸惡化,最終導致心臟功能衰退。

由於3條血管皆有問題,陳裕峰指據治療標準,特別考慮到患者年輕,建議進行冠狀動脈繞道手術(搭橋手術),藉由自身動脈或靜脈移植血管,以繞過阻塞部位,恢復血流供應。

陳裕峰強調,心血管阻塞引起的心臟衰竭,即使發生在年輕患者身上也不容忽視。心臟衰竭的常見症狀包括容易疲倦、呼吸困難、心跳過快、水腫、夜頻尿症、胸痛和行為改變如焦慮不安、記憶力受損、發噩夢、失眠或頭暈等症狀。如有相關問題,應透過詳細檢查找出病因,以進行適當治療。他又提醒高血壓患者務必按時服藥,不要輕視病情,以免導致不可逆轉的心臟損害。

【延伸閱讀】

10位老人有1位心臟衰竭🫀香港最常見致命疾病第3位 此3大特徵必需注意

久咳 | 4旬婦連月咳嗽氣喘 睡覺出現一症狀 檢查揭心臟衰竭 3大高危因素+8種食物潤肺止咳

睡姿透露大秘密:平躺不適可能暗示心臟問題?