30歲教師不吸煙無咳嗽 長數十個肺結節如滿天星 改變一個工作習慣1年結節全消失 拆解結節=癌症?

30歲教師不吸煙無咳嗽 長數十個肺結節如滿天星 改變一個工作習慣1年結節全消失 拆解結節=癌症?

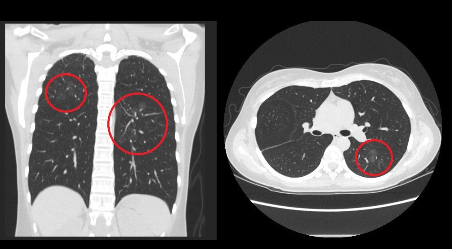
【肺結節/教師/老師/吸煙/咳嗽/工作習慣/消失/癌症/患癌】台灣胸腔內科醫生蘇一峰在Facebook發帖,指一名30多歲的幼稚園教師沒有抽煙,也沒有咳嗽症狀,到醫院自費做低劑量電腦斷層掃描檢查,卻發現有10個「毛玻璃」的肺結節,其中大的肺結節更達1厘米以上。

該患者隨即向蘇一峰求診,他仔細詢問對方病史,該患者透露因工作關係,經常要使用漂白水消毒。對此,蘇一峰判斷可能是化學性肺炎,為漂白水吸入造成的肺炎,並非癌症的肺結節。

他處方適當藥物,並囑咐對方要注意減少漂白水吸入,1年後10個肺結節均消失。

結節是癌症先兆?

據香港綜合腫瘤中心資訊,結節在醫學上是指一種小而堅實的團塊,通常直徑大於1毫米。結節可出現於身體不同位置,如肌肉、聲帶、肺、甲狀腺、肝、乳房等組織。在超聲波或X光片中,結節一般會呈現為陰影,但陰影亦有可能是由細菌感染造成的發炎,或肺部曾受傷而留下的疤痕。單靠一般檢查難以判斷陰影是否結節,何況是良性或惡性,因此需進一步檢查,例如電腦掃描(CT)、磁力共振掃描(MRI)等,才能釐清其性質。

「結節」不一定惡性 定期監察免惡化

結節最常在甲狀腺、乳腺、肺部檢查等中發現,檢查發現體內有結節的人只需及時就醫,在醫生建議下制定細緻周全的治療方案即可,毋須過分緊張。

肺結節演變成惡性腫瘤的機會很低,超過9成的肺結節均屬良性,即使大於8毫米結節的癌變機率亦只有約3%。不過,由於結節越大,病變機率越高,因此仍需要定期觀察結節是否有變大或惡化跡象。

吸煙人士患肺結節風險較高?

吸煙者與非吸煙者同樣有患肺結節的風險,但需注意的是,兩者所得肺結節的性質可能不同:吸煙者大部分患「實性肺結節」;非吸煙者大部分患「磨玻璃肺結節」。

實性肺結節增長速度較快,甚至有機會1年內演變成中期或末期肺癌。如患者適合進行手術,建議越早切除越好;磨玻璃結節發展速度一般較慢,毋須急於手術,定期監察結節大小即可。

【延伸閱讀】

肺癌 | 40歲女不吸煙不煮飯 肺部長10多個結節如「滿天星」 一個原因確診肺癌:還有10個繼續長

咳嗽 | 5旬男咳嗽多年驚見肺有結節 醫生揭3大病因恐傷腦致糖尿病肺癌 做好4件事1個月即改善

咳嗽 | 30歲男堅稱感冒 咳足1個月鄰居以為鬧鬼 醫生揪出病因5日即康復 慢性咳嗽4大特徵或非感冒