飲食健康 | 5旬壯男日喝一款飲品 血壓飆升中風 戒飲8年仍半邊身麻痺 每日超過X杯增血栓風險

飲食健康 | 5旬壯男日喝一款飲品 血壓飆升中風 戒飲8年仍半邊身麻痺 每日超過X杯增血栓風險

【飲食/健康/飲品/血壓/中風/麻痺/血栓/風險】綜合外媒報道,英國《BMJ病例報告》分享一宗病例,一名50歲男子本來身體健康、體格健壯,因左側無力、麻木而入院治療,他亦出現平衡、行走、吞嚥和說話方面的困難,醫生幫他量血壓時,發現他的血壓遠高於平均值。 

日喝8罐能量飲料

後來發現,他的症狀是由於大腦中負責感覺和運動的區域發生中風引起,他在醫院接受降血壓藥治療,血壓恢復正常後便出院回家。但儘管醫生加大藥物劑量,他的血壓還是持續升高,醫生經進一步詢問,始得知該患者平均每天喝8罐能量飲料,每罐含有160毫克咖啡因,他共攝取約1,300毫克咖啡因,是建議最多攝取400毫克的3倍多。 

研究表明,咖啡因是一種興奮劑,會促使血管收縮,從而加快心率。 雖然這種血壓飆升是暫時性,但英國國家醫療服務體系(NHS)警告,每天喝超過4杯咖啡(約400毫克咖啡因),長期會升高血壓。

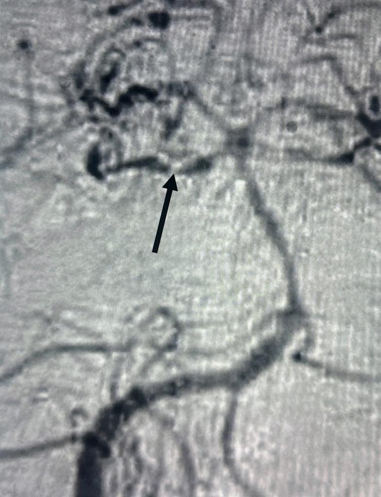
磁振造影血管攝影顯示小腦上血管痙攣(黑箭頭)。

事隔8年仍半邊身麻痺 

而戒掉這個不良習慣後,該男子的血壓終於恢復正常,亦停止服藥,但其左側身體始終沒有完全恢復知覺,他直言「我當時沒有意識到喝能量飲料會為自己帶來危險,即使過了8年,我的左手、手指、腳和腳趾仍然麻木」。

據報能量飲料的潛在風險包括血液供應受限或血栓,以及腦出血(或中風),尤其原本中風風險較低的年輕人。這是因為許多流行的能量飲料由於標籤標註不規範,實際咖啡因含量往往比標籤上標明的還要高。雖然飲料會標示其所含「純咖啡因」的含量,但其他成分可能含有隱藏的咖啡因。 

能量飲料咖啡因=即溶咖啡3倍

能量飲料含有大量對身體有強烈影響的成分,某些品牌的能量飲料咖啡因含量高達160毫克,幾乎是即溶咖啡的3倍。這些飲料與失眠、頭痛、心跳加速和脫水等不良反應有關。 而瓜拉納、牛磺酸和能量飲料中常見的其他成分之間的相互作用,亦會增加中風風險。 

英國研究人員亦回顧57項研究,這些研究涵蓋超過120萬名兒童,發現飲用能量飲料與頭痛、煩躁、疲倦和胃痛的發生頻率增加之間存在明顯關聯。研究也發現與睡眠時間和品質下降,且出現壓力、焦慮和抑鬱等情緒問題的風險增加有關。

每日建議咖啡因攝取量

NHS指出,每天攝取超過600毫克咖啡因(6杯)已過多,可能導致焦慮、失眠和心悸,而1杯即溶咖啡約含100毫克咖啡因。孕婦每日咖啡因攝取量不應超過200毫克。1小罐250毫升的能量飲料,就可能含有80毫克咖啡因,相當於2罐可樂或1小杯咖啡的咖啡因含量。

【延伸閱讀】

健康新聞報道 | 女教師日喝一類飲品心臟病發亡 女學生拍手踩單車竟過敏 浸溫泉會感染HPV?

心臟病 | 28歲女愛健身作息規律 突心臟病發作昏迷10日逝 揭愛喝一類飲品惹禍增中風風險

中風 | 瞓晏覺超過XX分鐘💤 中風風險增23%恐早逝 醫生建議控制午睡XX分鐘