心臟病 | 34歲爸爸愛健身跑馬拉松 鍛練後一個症狀以為食辣引起 揭血管阻塞95%險死

心臟病 | 34歲爸爸愛健身跑馬拉松 鍛練後一個症狀以為食辣引起 揭血管阻塞95%險死

【心臟病/健身/馬拉松/鍛練/症狀/血管/阻塞】據英國《每日郵報》報道,來自美國佛羅里達州的34歲兩孩之父Mario Ciccarello是一名健身愛好者、超級馬拉松選手兼倉庫工人,今年2月他在公園完成鍛練後,胸口突然傳來一陣劇烈、持續的疼痛。 

以為食辣引起

隨後疼痛蔓延到肩膀和左臂,他知道這是心臟病發作的典型症狀,但他認為自己還很年輕,身體也很健康,不可能出現心臟驟停,並把疼痛歸究於前一晚吃了辛辣的墨西哥食物。

他大約中午回家後,告訴女友Stephanie James他需要睡午覺,因為他感覺心臟「快要停止跳動」。 

「我當時感到一種難以言喻的強烈恐懼感,感覺內心深處出了甚麼問題。」 

當他躺下時,靜止心跳加速到每分鐘112次,幾乎是正常心率的2倍,這表明心臟承受的壓力增加。「然後疼痛像潮水般再次襲來,比在公園裡痛10倍,我感覺整個左側都要從身體脫離。我看著熟睡的兒子,心想這會否是我最後一次見到他」。

揭血管阻塞95%

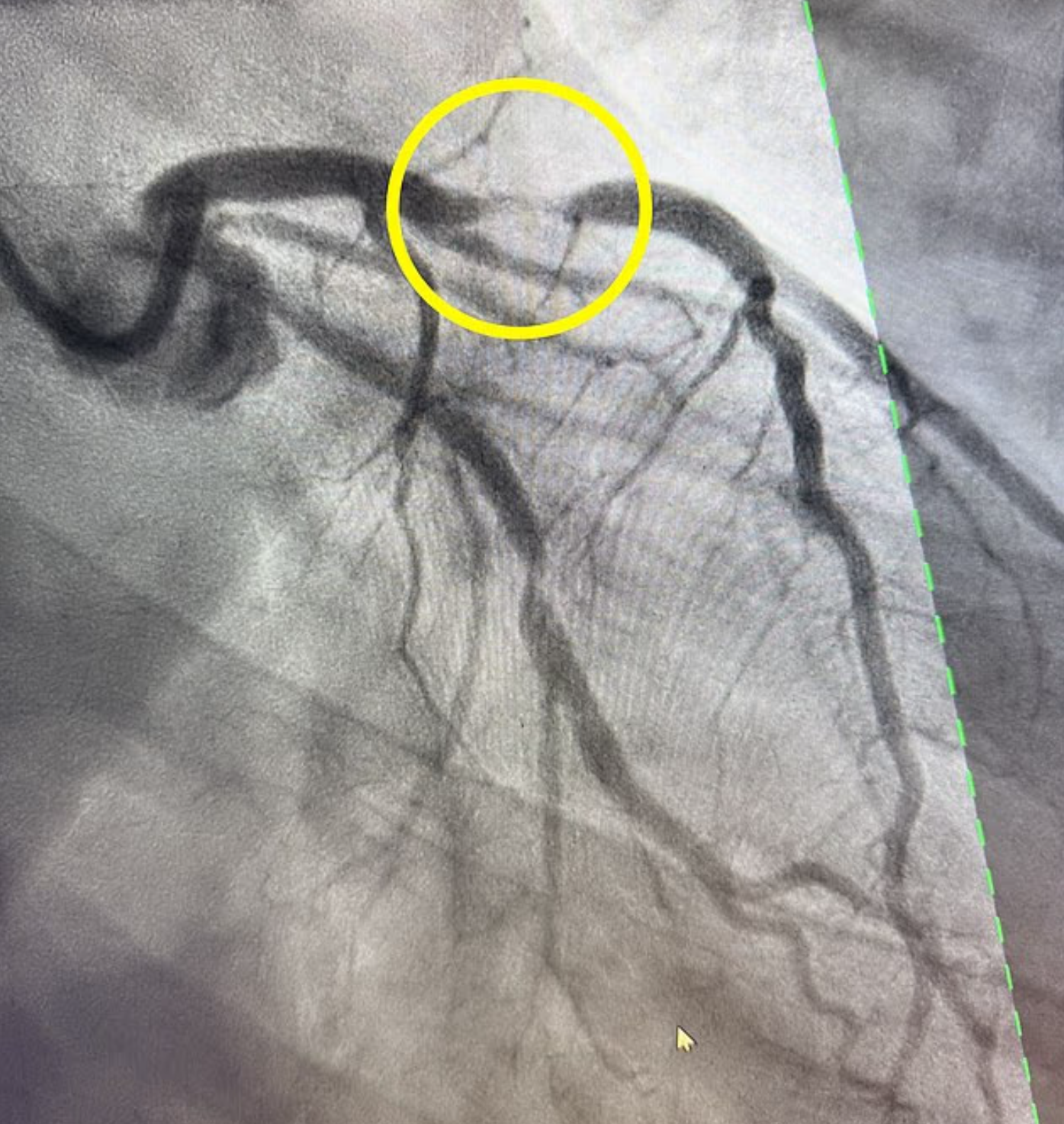
Mario認為可能出現心臟病發作的症狀,遂立即趕往醫院,醫生發現他的左前降支動脈血管阻塞了95%,恐導致心臟病發作,死亡率極高,醫生估計只有12%的患者能夠存活,因阻塞左前降支動脈會立即對心臟的泵血腔室造成巨大損害。這種心臟病在男性中更常見,尤其在40多歲的男性中,但50歲以上的女性風險也會增加。 

與其他類型的心臟病發作類似,不良生活習慣,如肥胖、缺乏運動和高飽和脂肪飲食,都會增加這種心臟病的風險。病因尚不明確,但近期研究已將重點放在壓力、篩檢延遲和潛在的環境污染物上,例如污染。 

醫生透過在Mario的心臟植入2個支架,以挽救他的生命。他目前正在服用血液稀釋劑並接受基因檢測,他又利用社交媒體向其他年輕、身體健康的人提醒心臟病發作的症狀,其中包括胸痛、呼吸急促、頭暈、胃部不適、疲勞和頭暈眼花。 

「我差點就死了,我們應該早點去醫院,但我們當時根本沒想到我會心臟病發作。回想起來,我真希望自己能早點去,因為人們都說,每等1分鐘,對心臟的損害就越大。」

【延伸閱讀】

心肌梗塞 | 忽視心肌梗塞3大警號 男子唱K突心跳停止 救回一命腦缺氧恐成植物人

猝死 | 54歲運動健將行山猝死 患一種慢性病做運動高危 猝死前3大先兆黃金10分鐘急救

心臟病 | 6旬心臟科醫生無胸痛 現4大徵兆心臟病發作 拒接受現實險死:以為不可能發生在我身上