刷牙流牙血?元兇係牙菌膜! 即睇漱口水清潔口腔前後效果!

隨住年紀增長,有冇發覺朝朝起身都「見紅」?講緊朝早刷牙時嘅牙血問題呀!

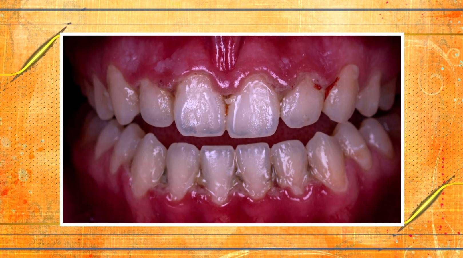
年過35歲,好多人都開始有口腔問題,容易流牙血、牙肉腫脹、牙齦變得深色,嚴重嘅更加會影響埋形象,因為會有口臭、牙石,牙齦外露等問題出現,唔想開口嚇親人,可以點算?

其實造成牙齦問題嘅成因,就係口腔內嘅牙菌膜!早晚刷牙係唔夠架,口腔內仍然有好多位置,牙刷接觸唔到,不斷累積牙菌膜就會產生牙齦問題。

《東張西望》節目用假牙準備一個口腔測試,利用顯影劑去模擬口腔入面嘅牙菌膜,示範點清潔口腔最有效。就算刷完牙再用牙線清潔都無法完全清潔口腔,紫外燈照射下可以見到仍然有好多牙菌膜積聚係牙齒「罅」位。

攝製組再嘗試用漱口水去清潔口腔,經測試證實,用完漱口水後,口腔內幾乎無細菌殘留,液體有助流入牙齒「罅」位,有效清潔牙刷同牙線接觸唔到嘅地方。

而市面上有漱口水係用天然四重精油碗方,利用薄荷、百里香、尤加利同冬青樹精油嘅獨特穿透力,達致殺菌功效,可以去除口氣,同時有效預防牙齦問題以及降低患上牙周病嘅風險。要解決同預防牙齦問題,剩係用牙刷同牙線係唔夠嘅,記得要用埋漱口水漱口先至可以徹底咁清潔口腔。

特約內容

即睇產品資訊:Listerine 李施德林