白肺 | 男子咳嗽以為感冒 證患甲流兩肺變白 醫生揭可怕之處:被痰淹死

白肺 | 男子咳嗽以為感冒 證患甲流兩肺變白 醫生揭可怕之處:被痰淹死

【流感/甲流/甲型流感/大S/徐熙媛/白肺】內地一名男子早前出現咳嗽,起初以為只是感冒,求診後證患甲型流感且出現「白肺」。網傳因流感併發肺炎病逝的台灣女藝人大S(徐熙媛),生前雙肺亦呈白肺,有醫生形容等同「病人被自己的痰淹死」。

綜合內媒報道,浙江杭州一名劉先生(化名)表示自己身體硬朗,起初有輕微咳嗽和咳痰,以為只是普通感冒,未有太在意,到診所配了一些感冒藥服用後,仍然覺得頭暈無力,咳嗽、咳痰亦比之前嚴重。

證患甲流兩肺變白

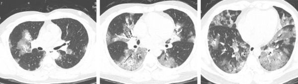
數天後,劉先生還出現氣喘情況,遂趕緊到醫院就診,醫生為他進行流感核酸檢測和胸部電腦斷層掃描(CT)檢查,結果顯示他感染甲型流感,兩肺有非常嚴重的「磨玻璃樣」滲出,即出現「白肺」。

杭師大附屬醫院呼吸與危重症醫學科呂群醫生分析,以往高致病性禽流感、新冠病毒感染等病毒性肺炎,在病情嚴重時都有可能引發白肺現象,但像劉先生這樣因流感而導致的重症流感病例,並進展到出現顯著肺部病變乃至「白肺」的程度,相對較為罕見,「劉先生的氧飽和度下降至85%,所幸在醫護人員的努力下,他的病情逐漸穩定」。

呂醫生表示,重症流感患者常因免疫系統受損,容易併發細菌(如肺炎鏈球菌、金黃色葡萄球菌等)和真菌感染(如曲霉菌、念珠菌等),這些感染可能引發進一步的肺炎、敗血症等嚴重併發症。

呂醫生亦指出,甲型流感引起的重症肺炎,並不是常見的情況,但是在有潛在疾病的人(如心肺疾病患者、孕婦、嬰幼兒、老年人或免疫缺陷者)中,流感肺炎更容易發展為重症,「雖然流感重症肺炎的發生率相對較低,但在特定人群中,且應對不當的情況下,病情可能會非常嚴重」。

北京市呼吸疾病研究所所長童朝暉則指,當肺裡肺炎浸潤的影子超過75%、80%以上,導致呼吸困難憋氣就是「白肺」,一般都需要入住深切治療部;而一般的肺炎,即有點片影或單側、散在的影子,就不屬於「白肺」。

大S生前呈白肺 醫生:被痰淹死

至於網傳大S臨終前CT影像顯示雙肺呈白肺狀態,送院時血氧濃度已降到89%(正常為95%至100%)。台北市立聯合醫院陽明院區胸腔內科醫生蘇一峰解釋,「大白肺」即嚴重肺炎導致呼吸困難,等於「病人被自己的痰液水腫活活淹死」,如一直未有處理缺氧狀態,可能半天數小時內,因心跳呼吸停止死亡。


【延伸閱讀】

流感 | 日本流感季逾950萬人染病 醫生教遊日必備7件防疫用品

流感肆虐奪122命 5個穴位+4款茶飲增強免疫力

北上深圳小心!全國呼吸道傳染病高峰🦠 廣東省流感😷/人偏肺病毒/鼻病毒大流行💊!