肺癌 | 6旬婦不煙不酒無咳嗽 2大徵狀確診末期肺癌 腫瘤達8cm無法開刀

肺癌 | 6旬婦不煙不酒無咳嗽 2大徵狀確診末期肺癌 腫瘤達8cm無法開刀

【肺癌/吸煙/飲酒/咳嗽/徵狀/確診/末期/腫瘤/開刀/抽煙/喝酒】台灣台北市立聯合醫院陽明院區胸腔內科醫生蘇一峰在Facebook發帖,指有一名60歲婦人不抽煙、不喝酒,卻罹患末期肺癌。

他形容該婦人沒有不適症狀,也沒有咳嗽或氣喘,僅是體重減輕,2、3個月間下降7、8公斤(約15至18磅),而且有點胸痛,其丈夫懷疑她有癌症,馬上帶她到胸腔科求醫。

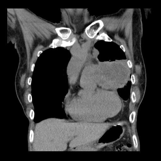
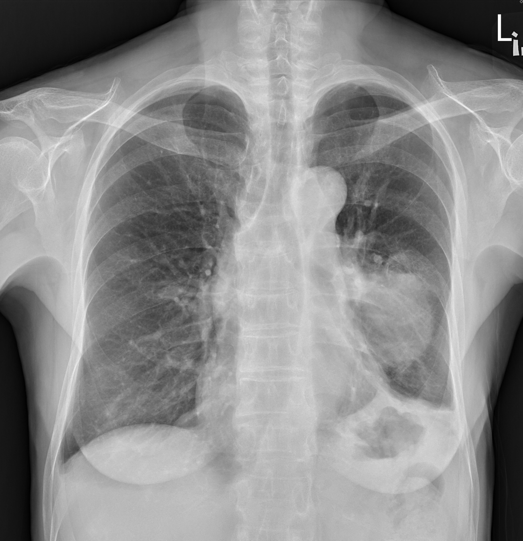
肺腫瘤達8厘米不能開刀

蘇一峰透露,該婦人接受X光檢查後,發現肺腫瘤已長達7、8厘米,已不能開刀做手術。對此,他不禁嘆道:「台灣女性忍耐力很強,肺癌等到有症狀常常都是末期。在台灣定期檢查肺癌真的非常需要,不能等到有症狀才來看醫師(生)......」

May be an image of xray

May be an image of xray

肺癌成因

據香港癌症基金會資訊,吸煙是引致肺癌的主要成因:

  • 90%的肺癌都與吸煙有關
  • 40歲以下患上肺癌的人很少
  • 50歲以上的人患上肺癌的機會大幅增加
  • 開始吸煙的年齡越輕,患肺癌的機率越大
  • 10個吸煙人士中有1人患肺癌

吸煙斗或雪茄者患上肺癌的風險比吸香煙的人低,但仍然比非吸煙者高得多;吸二手煙者,患癌風險低過吸煙者。

肺癌5大症狀  

  • 持續咳嗽
  • 呼吸短促  
  • 痰中帶血絲  
  • 胸痛:咳嗽或深呼吸時,胸口隱隱作痛或突然劇痛  
  • 食慾不振和體重下降 

如果發現以上任何一種症狀,及時求醫;但請注意,這些症狀的出現,也可能因為其他疾病引起。

【延伸閱讀】

肺癌 | 4旬教師生活規律不煙不酒 一個症狀以為感冒 確診肺腺癌5年病逝 9成患者非吸煙5大風險因素

30歲教師不吸煙無咳嗽 長數十個肺結節如滿天星 改變一個工作習慣1年結節全消失 拆解結節=癌症?

33歲男演員柯煒林患肺腺癌四期 5月尾開始咳原出演50場舞台劇 樂觀面對如常生活:打慣逆境波